Les examens complémentaires
Parfois, l'examen clinique seul ne permet pas de comprendre ce qui se passe chez votre animal.
Dans ce cas, des examens complémentaires sont nécessaires à l'établissement d'un diagnostic.
Echographie
L' échographie est une technique médicale permettant, au moyen d'ultrasons, d'explorer les organes internes d'un animal.
Selon la pathologie recherchée, nous pouvons réaliser une échographie abdominale ou thoracique.
Lorsqu'une analyse d'urine a besoin d'être réalisée, nous procédons à une cystocentèse: il s'agit d'un prélèvement d'urine directement dans la vessie, avec une aiguille fine et une seringue, sous contrôle échographique. Cet examen est indolore et apporte souvent de nombreuses informations.
Parfois, votre animal peut également présenter du liquide dans le thorax ou l'abdomen, à ce moment là, une ponction échoguidée est réalisée afin de le soulager et d'établir un diagnostic.
Ces ponctions échoguidées sont également réalisées en cas de masse intra-thoracique ou intra-abdominale, afin de récolter des cellules pour les faire analyser par un laboratoire de cytologie.
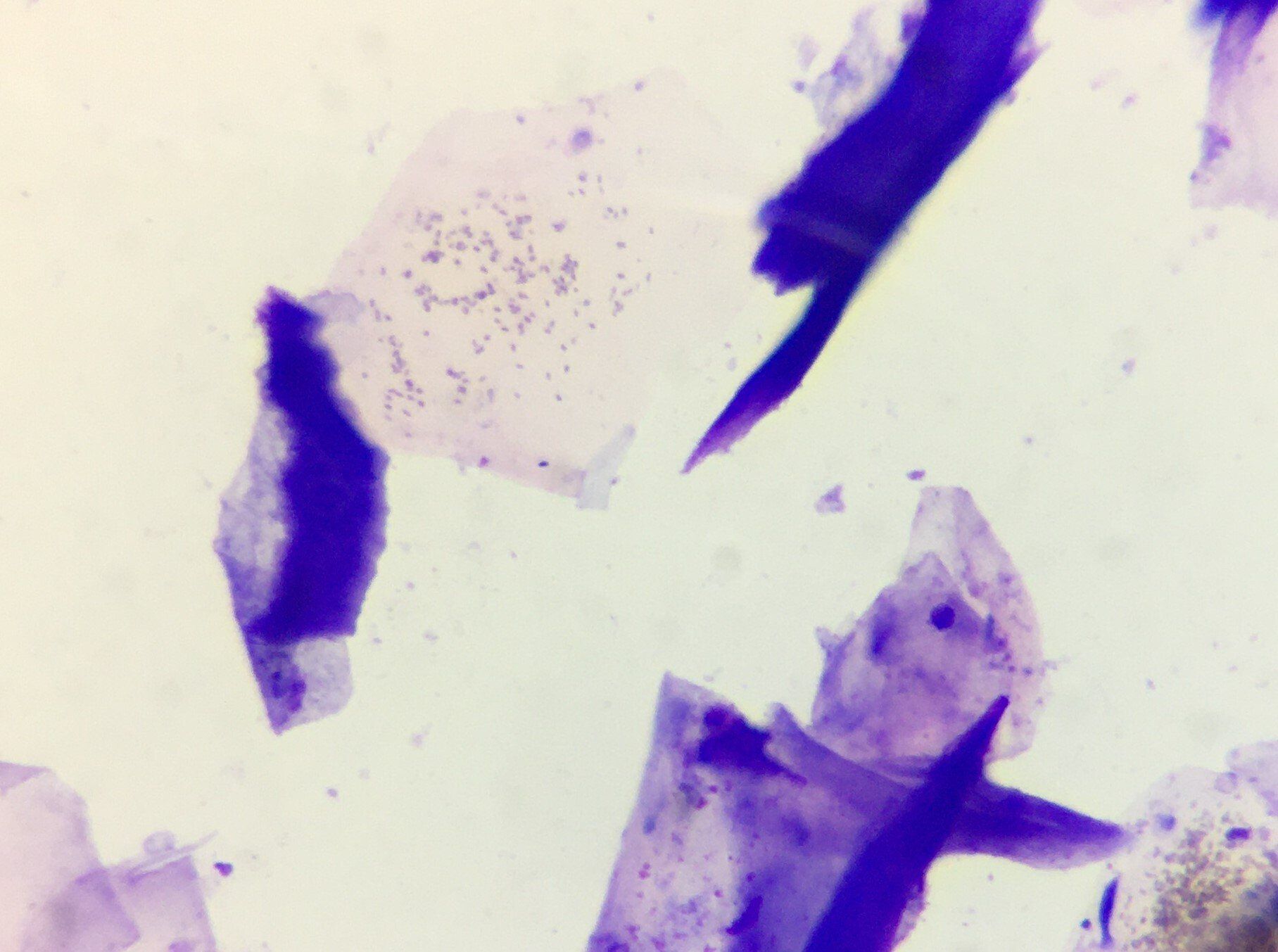
Cytologie
La cytologie est l'observation de cellules à l'aide d'un microscope.
On peut la réaliser:
- lorsque votre animal présente une masse: après un prélèvement à l'aide d'une aiguille fine
- lors d'une analyse d'urine ou pour toute analyse de liquide
- lors d'une otite ou une infection de la peau
Après préparation du prélèvement (centrifugation, coloration...), le contenu est examiné minutieusement au microscope.
Légende photo microscope (de gauche à droite)
- bactéries/pyodermite superficielle
- bactéries/pyodermite profonde
- bactéries/infection urinaire
Pression artérielle
Mesure de pression artérielle
Le suivi de la pression artérielle se développe chez les chiens et les chats.
Le plus souvent, les animaux âgés présentent une hausse de la tension, qui se traite facilement.
Les baisses de tension sont souvent présentes lorsque les animaux sont en état de choc, la plupart du temps après un accident, ce qui nécessite alors la mise sous perfusion.







